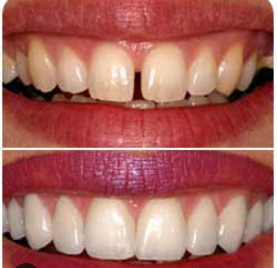
Smile designing

Smile designing is a comprehensive cosmetic dentistry approach aimed at enhancing the appearance and harmony of a person's smile. It involves a personalized treatment plan that may include procedures such as teeth whitening, dental veneers, composite bonding, orthodontic correction, and dental implants.

RC